Australasian Dental Practice

Wednesday, 15 April, 2026

31 Jan 2024 | Australasian Dental Practice

news > Spectrum > Page 16

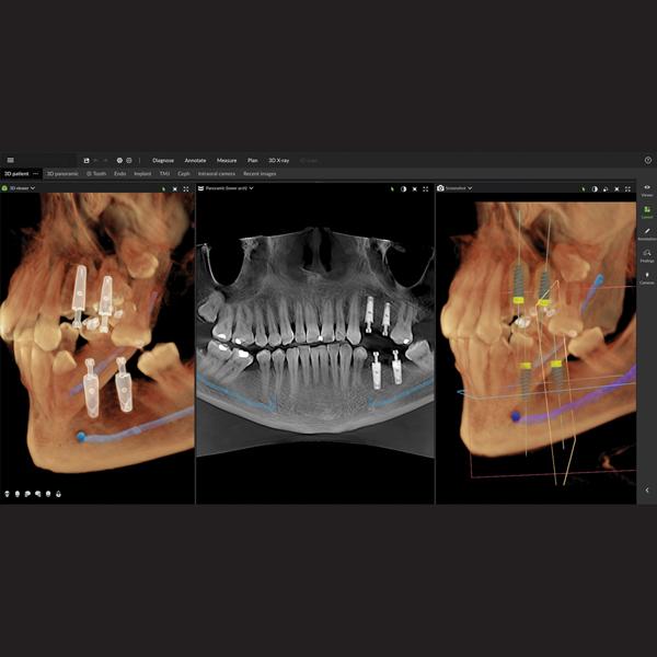
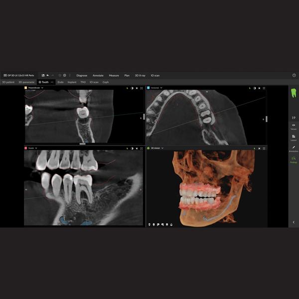
The next generation of DEXIS™ Cone Beam Technology is here

Leading innovator of dental imaging technologies, DEXIS, has launched the next-generation OP 3D. Built on OP 3D technology, the OP 3D LX imaging platform expands your 3D diagnostic capabilities with a wide range of clinical applications that support your evolving practice and enhance diagnostic confidence.


One versatile imaging platform

Flexible fields of view

With the largest sensor on a DEXIS OP 3D platform, this next generation system offers flexible FOV* options ranging from 5x5 up to 15x20 - the largest view option available on a DEXIS OP 3D platform to date. With 96 additional customisable FOV options and four resolutions, including endo mode and low dose mode, the OP 3D LX is the ideal solution for a wide range of dental demands.

Consistent, high-quality images

OP 3D LX offers high-resolution scans and shorter scan times while capturing the maxillofacial complex and large diagnostic areas in one non-stitched scan. In addition to panoramic, extraoral bitewing, and 3D imaging, OP 3D LX offers an optional cephalometric modality. Expand your diagnostic confidence and capabilities with the implant planning tools and noise reduction filters embedded into the system software that minimise artefacts and noise.

Intuitive and interactive user interface

OP 3D LX offers an intuitive user interface, allowing for anatomy visualisation, vertical adjustments and bi-directional scout modifications so that the clinical staff can capture only the structures of interest and reduce retakes.

Re-engineered head support

The new head support design provides options to scan the patient without interfering with the patient’s soft tissue profile optimised for orthodontic and surgical applications.

Cloud-based service connectivity

This OP 3D LX feature simplifies service and maintenance, enabling remote access to system information for simplified installation, easier maintenance and increased practice uptime.

Seamless integration with new DTX Studio™ Clinic software

Packed with AI-assisted software features, DTX Studio™ Clinic complements OP 3D LX in numerous ways—for example, correcting patient positioning errors and detecting landmarks, annotating mandibular nerve canals, tracing patient-specific panoramic curves for mandible and maxilla and merging CBCT and intraoral scan data for improved implant planning.

These intuitive award-winning software features support a more efficient workflow allowing you to spend less time in the software and more time with your patient.

About DEXIS

DEXIS is a leading global brand in digital radiography for 70+ years. Today, DEXIS has brought together the most trusted brands in 3D imaging, intraoral scanning solutions and diagnostic software to provide you with a complete digital diagnostic solution. Their innovative award-winning technology enhances the way you diagnose, accelerates your workflow and delivers simpler treatment paths with better patient outcomes.

About Envista Holdings Corporation

Envista is a global family of more than 30 trusted dental brands, including DEXIS, Nobel Biocare, Ormco and Kerr united by a shared purpose: To partner with professionals to improve lives. Envista helps its customers deliver the best possible patient care through industry-leading dental consumables, solutions, technology and services. Our comprehensive portfolio, including dental implants and treatment options, orthodontics and digital imaging technologies, covers a broad range of dentists’ clinical needs for diagnosing, treating and preventing dental conditions as well as improving the aesthetics of the human smile. With a foundation comprised of the proven Envista Business System (EBS) methodology, an experienced leadership team and a strong culture grounded in continuous improvement, commitment to innovation and deep customer focus, Envista is well equipped to meet the end-to-end needs of dental professionals worldwide. Envista is one of the largest global dental products companies, with significant market positions in some of the most attractive segments of the dental products industry.

Staying Safe

Management

Surgery Design

Finance

Stream the latest dental videos...
S1 E6 - Ultimate Practice Makeover - Series 1 Episode 6

Upcoming Events...

Apr 14 2026

Best Practice Phone Skills

Live Online, AUSTRALIA

Apr 15 2026

Mastering Practice Ownership

Live Online, AUSTRALIA

Apr 16 2026
Apr 17 2026

IDEM Singapore 2026

Singapore, SINGAPORE

Apr 18 2026

ITI Congress Japan

Tokyo, JAPAN

Apr 18 2026
Apr 19 2026
Apr 21 2026
Apr 22 2026
Apr 28 2026
Apr 28 2026
May 11 2026
May 12 2026

Lead People and Culture

Live Online - Tue 12 & 19 May from 1:00pm, AUSTRALIA

May 14 2026

Hand Hygiene and Glove Management

Live Online, AUSTRALIA

May 17 2026
May 20 2026
May 21 2026
May 21 2026

Veneers: A Comprehensive Guide

Auckland, NEW ZEALAND

May 26 2026
May 27 2026
May 29 2026
Jun 03 2026

Maximising Recall Compliance

Live Online, AUSTRALIA

Jun 04 2026

ITI Congress Australasia

Melbourne, AUSTRALIA

Jun 05 2026

ITI Congress Denmark

Middelfart, DENMARK

Jun 08 2026
Jun 10 2026
Jun 11 2026

Appointment Book Control

Live Online, AUSTRALIA

Jun 12 2026
Jun 15 2026
Jun 18 2026
Jun 21 2026
Jun 23 2026

Leadership Legacy and Growth

Live Online - Tue 23 & 30 Jun from 1:00pm, AUSTRALIA

Jun 24 2026
Jul 07 2026

Stepping into Leadership

Live Online - Tue 07 & 14 Jul from 1:00pm, AUSTRALIA

Jul 09 2026
Jul 09 2026

Handling Emergencies

Live Online, AUSTRALIA

Jul 15 2026

Virtual Primespeak

Live Online - Wed 15 & 22 & 29 Jul from 12:00pm, AUSTRALIA

Jul 16 2026
Jul 21 2026
Jul 30 2026

Best Practice Phone Skills

Live Online, AUSTRALIA

Aug 05 2026
Aug 11 2026

Business Essentials for Leaders

Live Online, AUSTRALIA

Aug 13 2026
Aug 19 2026
Aug 25 2026

Appointment Book Control

Live Online, AUSTRALIA

Sep 09 2026

Lead People and Culture

Live Online - Wed 09 & 16 Sept from 1:00pm, AUSTRALIA

Sep 15 2026
Sep 17 2026
Sep 24 2026
Sep 24 2026
Oct 01 2026
Oct 06 2026

Virtual Mastering Practice Ownership

Live Online, AUSTRALIA

Oct 07 2026
Oct 07 2026
Oct 07 2026

Practical Endodontics Workshop

Sydney, AUSTRALIA

Oct 07 2026

Appointment Book Control

Live Online, AUSTRALIA

Oct 15 2026
Oct 15 2026
Oct 15 2026
Oct 16 2026
Oct 18 2026
Oct 20 2026

Dental Expo Ufa

Ufa, RUSSIA

Oct 20 2026
Oct 27 2026

Maximising Recall Compliance

Live Online, AUSTRALIA

Oct 29 2026
Oct 29 2026

ITI Congress Middle East 2026

Abu Dhabi, UNITED ARAB EMIRATES

Nov 04 2026
Nov 05 2026
Nov 06 2026
Nov 10 2026

Leadership Legacy and Growth

Live Online - Tue 10 & 17 Nov from 1:00pm, AUSTRALIA

Nov 11 2026
Nov 11 2026
Nov 12 2026
Nov 18 2026

Handling Emergencies

Live Online, AUSTRALIA

Nov 25 2026

Dental Expo - Ural

Ekaterinburg, RUSSIA

Nov 25 2026

Best Practice Phone Skills

Live Online, AUSTRALIA

Nov 27 2026
Dec 03 2026

Appointment Book Control

Live Online, AUSTRALIA

Dec 09 2026
Nov 26 2027
Nov 24 2028